Terapeuták tengerében
A legutóbbi naplóbejegyzésem óta eltelt egy kis idő. Az elmúlt hónapot ismét az orvosoknál töltöttem. 9 beutalóval szórtak meg még április-májusban, ezért szeptemberben voltam egy vérvételen, egy röntgenen, 2 specialistánál konzultáción és 5 MRI vizsgálaton.
Így aztán, ha a belgiumi életem aktuális momentumairól szeretnék beszámolni, akkor ismét a betegségem a téma.
Minden út a kinékhez vezet. De ki az a kiné?
A kiné az a személy, aki a kineziterápiát végzi. Ő a csodaember Belgiumban, aki mindenhez ért, mert bármilyen fájdalommal mentem orvoshoz, mindig a kinét ajánlották megoldásnak.
A kineziterápia igazából olyan gyógytornát jelent, amelyet egyéb fizioterápiás kezelésekkel együtt mozgásszervi eredetű panaszok és betegségek gyógyító eljárásaként alkalmaznak.
A fizioterápia pedig csak természetes hatásokkal gyógyít. A természetes energiákat a nap, víz, levegő, a klíma erejét és a mozgás hatásmechanizmusait használja fel. Ez lehet gyógytorna, gyógymasszázs, hidroterápia, balneoterápia, gyógyvíz stb..
A szakorvosok gyakran javasolnak fizioterápiát a mozgásszervi megbetegedések kezelésére és gyógyítására. Ez igaz! De ők arra gondolnak, hogy a "szakember" az egyes módszereket kombinálva, a páciens személyére szabottan eléri a megfelelő hatást. Lehetne például gyógymasszázst gyógytornával és ultrahangos kezeléssel kombinálni.
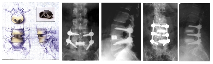
Az én esetemben sajnos gyógyulásról nem lehet szó, mert az elcsúszott, elmeszesedett, artritiszes (állandó gyulladásban lévő) csigolyáimat csak műtéti úton lehetne a helyükre visszatenni. Ezt egyelőre nem akarják az orvosok megtenni az ágyéki (L4-L5) csigolyáimnál, arra hivatkozva, hogy még túl fiatal vagyok. Tehát a kiné csak a fájdalom enyhítésében tudna segíteni, ha...
Valóban igaz, hogy legtöbbször a megfelelő mozgásterápiával a fájdalom hatékonyan enyhíthető, sőt sok esetben a rendszeresen alkalmazott gyógytornával a műtéti beavatkozás el is kerülhető, de nem úgy, ahogy az én kinéim dolgoztak.
Legelőször akkor találkoztam kinével, amikor 2014-ben diagnosztizálták a betegségemet. Csigolyacsúszások a gerincemen 1 a nyaki részen (C5-C6) és egy az ágyéki részen (L4-L5). Akkor a neurológus úgy engedett haza a konzultációról, hogy döntsem el melyiket akarom először műttetni a nyakamat vagy az ágyéki részt, addig felírt 18 alkalom kinét.
Kerestem egy szakembert, aki eljött hozzám hetente kétszer. A kezelés annyi volt, hogy hozott egy paraffinos párnát, rátette a hátamra, mondta, hogy addig hagyjam rajta amíg meleg. A következő alkalommal majd visszaadom neki és cseréljük. Továbbá az első 2 szeánszra hozott egy kütyüt, amivel megcsipkedte a hátamat, ezt hívják elektromos izomstimulálásnak, amely egy fizikoterápiás módszer. A harmadik alkalomtól ez el is maradt, csak megtapogatta a gerincemet, ezt ő masszázsnak hívta és kész. Össze-vissza 10 percet töltött nálam kezelésenként és ezért 9 évvel ezelőtt elkért 16,60 eurót. 12 ilyen semmire sem jó alkalom után, amikor elértem a 200 euró fizetni valót mondtam, hogy ne jöjjön többet, mert semmi értelme.
Legközelebb 2023 januárjában találkoztam kinével. Ő a kórházban volt alkalmazásban. A nyaki gerincműtétem után 24 órát vízszintesen, mozdulatlanul kellett feküdnöm, de mondták, hogy majd érkezik hozzám a kiné, hogy tornázzunk. Még örültem is neki. Erre másnap megérkezett a hölgy mondta, hogy meg kell várni a gyógyászati segédeszközös kollegát, aki hoz nekem nyakmerevítőt, majd csak utána tornázunk. Plussz egy nap. Harmadnap reggel jött, én lelkesen készen álltam. A feladat annyi volt jutalom ellenében, hogy ha le-és felmegyek egy lépcsősoron, akkor estére haza mehetek. Mondtam, hogy nekem a nyakamat műtötték, nem a lábam fáj. Nem baj, ez a protokoll - ennyi volt a válasz. Így hát lesétáltam néhány lépcsőfokot, majd visszasétáltam a kórterembe és késő délután valóban haza mehettem.
Valahol azt olvastam, hogy a kineziterápia alapja az, hogy a gyógytornával teljesítménynövelést érjen el. Éppen ezért minden mozgásszervet érintő műtét után kötelező a gyógytorna. Ez természetes, hiszen a gyógyulást szolgálja.
Ezzel kapcsolatban is van tapasztalatom, még otthoni és pozitív.
A harmadik térdműtétem egy nagy operáció volt 1999-ben (6 órás). Akkor innovatív módszernek számított a mozaik-plasztika, aminek a segítségével a térdem jobb (külső) oldaláról kiszedett porcdarabkákat átépítették a bal (belső) oldalra a teljesen kikopott ízületi porc helyére. A műtét után egy gép mozgatta állandóan a lábamat és 48 óra múlva, mikor az összes csövet eltávolították a térdemből, jött a gyógytornász. Óriási fájdalmak között kezdtük a nevetségesen egyszerű feladatokat. Engem anyukám támasztott hátulról, folyt a könnyem, de nem adtuk fel sem én, sem a szakember. 3 hétig voltam a kórházban, addig tartott a rehabilitáció. Ennyi idő után sem értem el a kitűzött célokat, de haza engedtek, megbízva bennem, hogy otthon is folytatom a tornát. 6 hónapig mankóval jártam, de minden nap tornáztam.
Az a szakember a szegedi klinikán gyógytornász volt. Olyan egészségügyi dolgozó, aki a munkáját orvosi diagnózis alapján végzi. Elsősorban mozgásterápiával és manuális technikákkal kezeli a beteget. Terapeuta, aki önállóan fel tudja mérni a mozgáskárosodott ember állapotát. Tehát nem kiné, hanem gyógytornász. Nála a manuális technika nem a masszírozásban merült ki. Ilyen gyógytornászra lenne nekem szükségem és azt hiszem, hogy a specialisták, az orvosok is erre gondoltak, amikor a kiné által végzett rehabilitációra jegyeztek elő.
Visszakanyarodok. Belgium 2023 január a nyaki műtét után. Otthon gyógyulgattam. 2 hét után egy nővérke házhoz jött, kiszedte a varratokat és mondta, hogy kezdhetem a tornát. Kerestünk is egy kinét, aki eljött hozzám hetente kétszer pár percre. Széken ülve, testápolóval megmasszírozta a nyakamat. Az 5.-6. alkalom után csináltunk 2-2 fejfordítást jobbra és balra, és ennyi. Ettől kellett volna a megbolygatott nyaki, válli izmaimnak regenerálódniuk.
12 szeánsz után mondta, hogy jól vagyok, nem jön többet. Mindez 6 euró / alkalomba került.
A szeptemberi kontrollon (8 hónap elteltével) mondtam a doktornőnek, hogy valami nem jó, mert fáj a vállam, csak a jobb oldalon, ha használom a kezemet. Márpedig használom, mert jobbkezes vagyok. Tehát fáj, ha írok vagy gépelek, ha főzök és szeletelek vagy kavarok valamit, ha hajat mosok, ha tornázok, ha teregetek, ha szőnyeget rázok, ha a jobb oldalamra fordulva fekszek. A neurológus szerint sem jó ez így. Az első kérdése az volt hozzám, hogy nem volt kiném, aki tornáztatott volna? Mondtam, hogy kiné volt, de nem tornáztatott, csak masszírozott. Cammogás után újabb vizsgálatra küldött a doki, ahol az izomzatomat nézik majd.
Belgiumban az orvoslás elsődleges célja a fájdalomcsillapítás. Minden panaszt komolyan vesznek, ha a hajad szála vagy a körmöd vége fáj azt is, és azonnal gyógyszereznek, bár minden panaszra a Tramadol, a Paracetamol és a Defalgan a gyógyír.
Nekem ez az év nagyon összejött. A trombózis miatti őrületes fejfájás, a nyaki csigolycsúszás miatti zsibbadás a végtagjaimban, az ágyéki csigolyacsúszás miatti hasogató, pulzáló állandó fájdalom a csípőmben, az erőtlenség, a mozgáskorlátozottság kiverte a biztosítékot. Gyógyszereket nem szedtem rendszeresen, mert akkor egy zombi lennék vagy egy molylepke, aki kering a fény körül, de a világáról nem tud. Csak akkor vettem be egyet-egyet, amikor viselhetetlen volt a fájdalom. Éreztem, hogy begolyózok, sokszor mondtam, hogy nem bírom tovább, depis lettem, antiszociális ezért aztán a Fájdalomklinikára kerültem. Ott egy nagyon kedves doktornővel hozott össze a Jóisten. Nem nézett hülyének, értette a problémát, mondta, hogy pszichológusra is szükségem lenne, akivel igazán jól csak magyar nyelven tudnék beszélgetni, de olyan kollegát, aki ezt a nyelvet is beszéli, ő nem ismer. Aztán mosolyogva mondta, hogy látja, hogy a gyógyszerekkel nem vagyok megbarátkozva és hiszi, hogy a nagy ellenállásom miatt nem használnak nekem. Könnyen lehet, ez pszichológia.
A tankönyvek szerint a fájdalomkezelés az orvostudomány azon ága, amely interdiszciplináris (több tudományt, szakterületet érintő) megközelítést alkalmaz a fájdalom enyhítésére és a fájdalommal élők életminőségének javítására. Ezt az elvet alkalmazva ismét a kinénél kötöttünk ki. Ismét ezt a szakterületet találta a doki megoldásnak és felírt újabb 18 alkalom kineziterápiai kezelést, valamint egy altatót, hogy a nagy tornák után tudjak aludni. Megköszöntem és mosolyogtam.
A következő specialista, egy újabb neurológus szintén azt javasolta, hogy ne műtsék meg újra a gerincemet, tornázzak és talán könnyebb lesz, és ő is felírt 18 szeánszot a kinénél.
Nem adtam fel! Több helyen érdeklődtem, hogy ismer-e valaki egy jó kinét, aki speciálisan tudna velem foglalkozni, akinek lenne valami használható terápiája az én betegségeimre.
Sokan próbáltak segíteni. Ajánlottak csontkovácsot is. Mondtam, hogy nekem nem arra van szükségem, mivel a csontkovácsolás a test szimetriájának a helyreállítására való törekvés. Ők a csontokra és az ízületekre ható közvetlen mozdulatok segítségével érik el, hogy egy-egy csont a helyére kerüljön.
Az én L4-es csigolyám már 8,5 mm-re van elcsúszva a hasfal felé, ül az L5-ös csigolyán. Nem gondolom, hogy bármilyen jól irányzott mozdulattal ezt vissza lehetne helyezni a helyére.


Hasba rúgnának, vagy ugrálnának rajtam? Csak viccelek, de ezek jutottak eszembe. Utána pedig fellógatnának súllyal a bokámon, hogy engedjék el egymást a csigolyáim.
Többszöri telefonálgatás után találtunk valakit, akinek elmondtuk a problémát. Vállalta az esetet. Örültünk. Ez gyorsan elmúlt.
A megbeszélt találkozóra 40 perc késéssel megérkezett egy 23 éves lányka kiné. Elvette az orvosi beutalómat, biztosan nem olvasta el, mert annyi idő alatt nem lehet, és kezdtük a kezelést. Ő is egy székre ültetett, hozta a testápolóját és kezdett masszírozni. Felment az agyvizem. Hogy lehet széken ülve, ami az én hátamnak a legrosszabb pozíció, masszírozni? Amikor a lányom masszíroz fekve az ágyon szakértelem nélkül, az esküszöm hasznosabb. Ezt nevezik gyógymasszázsnak? Majd lefektetett a szőnyegre a hátamra és olyan feladatokat kezdett csináltatni, ami lehetetlennek tűnt. Nem tudok homorítani, még a röntgenen is probléma volt mikor kérték, hogy hajoljak hátrafelé a felvétel kedvéért. Közöltem vele, hogy ilyen jellegű gyakorlatokat már 8 éve nem csinálhatok. Azt kérdezte: - Miért? Mondtam azért, mert ezek tovább csúsztatják a csigolyáimat a rossz irányba. Látszott rajta, hogy nem érti az aggályaimat, én pedig meggyőződtem róla, hogy fogalma sincs arról mi a betegségem. Letöltöttem az Internetről a saját orvosi oldalamról a gerincemről készült MRI felvételeket és a következő alkalommal megmutattam neki. Elképedve nézte, mennyire deformált a gerincem. Leesett neki, miért mondtam az előző feladataira, hogy nem hasznosak.
De ő legalább próbálkozott a tornával. Legközelebb hozott egy aerobic szőnyeget. Azon álltam négykézláb, majd feküdtem és ő nyomkodta a lábaimat kis erőfeszítéssel minden irányba. Ötletelt tovább. Javasolta, hogy vegyek egy fitness labdát. Megvettem, azon mutatott 3 gyakorlatot. Miután ez megvolt nekem a szőnyeget nem hozta többször.
Egy-egy szeánsz 8 percig tartott, 5 perc masszírozás, 3 perc torna hetente kétszer. Szerintetek? Melyik izmom erősödött ettől? A 12. alkalom után ő is közölte velem, hogy neki nincs több ötlete, hogy mit lehetne velem csinálnia, mert az állandó gyulladás miatt nekem minden fáj. 7,40 euró egy 8 perces kezelés és ő nem akarja lopni a pénzemet, mert szerinte sem jó ez semmire, így nem jön többet. Na, bumm! Azt is mondta, hogy engem meg kell műteni és a műtét után szóljak neki, mert ő majd csak akkor tud segíteni.
Itt borult a protokoll! Mit ér a sok duma, hogy a kiné eléri a megfelelő hatást, enyhíti a fájdalmat, elkerülhetővé teszi a műtétet?
Biztosan én nem találtam valódi szakembert, bennem van a hiba, én nem értem és nem tapasztalom, hogy mire jó egy kiné.
A legszomorúbb az egészben az, hogy megtudtam miért nem akarnak még műteni az orvosok, miért mondják, hogy túl fiatal vagyok. Azért, mert az operáció velejárója, hogy az implantátum csak úgy helyezhető be, ha az izomzatot leválasztják a gerincről mindkét oldalon.
Nyilván ezek az izmok csak hosszabb idő alatt rendszeres gyógytornával regenerálódnak. A legtöbb esetben ez életfogytig tartó gyógytornát jelent. Ha pedig nem sikerül az izomműködést visszaállítani az izomerő gyengülést vagy bénulást vonhat maga után.
Ehhez nagyon jó szakemberre, sőt gyógytornászra lenne szükségem. Az elmondott tapasztalataim alapján arra jutottam, hogy ebben az országban nagyítóval sem találok felelősségteljes terapeutát. Így biztos, hogy Belgiumban nem fognak megműteni, inkább majd otthon.
Mit gondoltok?



